Top.Mail.Ru
Имплантация и полная эстетическая реабилитация зоны улыбки - Стоматология «Мастодонт»
пн-пт: 9:00-20:00
сб-вс: 10:00-15:00
г. Минск, ул. Судмалиса, 22
(3 мин от ст. м. Пролетарская)

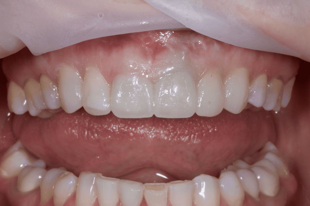
Ситуация до лечения

Пациент обратился с целью протезировании на ранее установленном импланте.

Была проведена совместная консультация специалистов: хирурга-имплантолога Комар Ольги Романовны и стоматолога-ортопеда Агаева Самира Вахидовича, вместе с пациентом был определен дальнейший план лечения.

пациент до протезирования
пациент до протезирования

Промежуточный результат

В области зуба 21 было произведено удаление и одномоментное установлен имплант, в этот же день изготовлена временная коронка.

 

Через 4 месяца пациент вернулся для дальнейшего протезирования.
Были сняты оттиски для макета будущей улыбки.
После согласования макета 4 центральных зуба и 2 импланта были подготовлены к снятию оттисков. После, установлены 6 временных коронок из пластика.

процесс имплантации
процесс имплантации

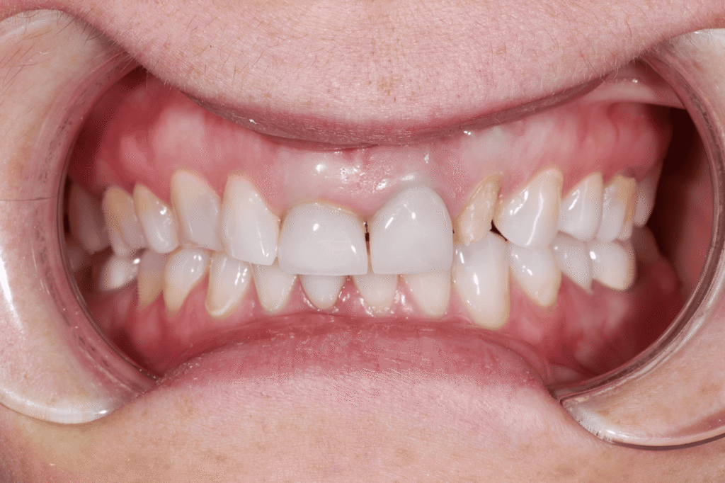
Этап имплантации и протезирования и результаты

Последним визитом стала фиксация 4 коронок Emax на свои зубы и 2 коронки из диоксида циркония на импланты.

На фото результаты работы стоматолога-ортопеда Агаева СВ и Комар ОР.

Стоимость лечения: 3820 USD (цена указана ориентировочно по курсу НЦРБ на день оплаты)

 

Записывайтесь на консультацию в директ или на сайте по ссылке в описании профиля.

результат протезирования
результат протезирования

С пациентом работали

Результаты работы стоматолога-ортопеда Агаева СВ и Комар ОР.
Агаев Самир
Агаев Самир Вахидович
  • Стоматолог-ортопед
  • Вторая категория
  • Стаж работы: с 2017 года
Комар Ольга Романовна
Комар Ольга Романовна
  • Врач-стоматолог-хирург
  • Вторая категория
  • Стаж работы: с 2017 года

работы врача

больше примеров
Имплантация по системе All-on-6 + имплантаты Megagen AnyOne
Имплантация
Имплантация по системе All-on-6 (имплантаты Megagen AnyOne)
Имплантация All on 6 MegaGen
Имплантация
Комплексная имплантация All-on-6 (Megagen AnyRidge)
All-on-5 (Straumann BLT)
Имплантация
All-on-5 (Straumann BLT)
запись в стоматологию в Минске
запись на приём
Оставьте заявку на обратный звонок,
и мы свяжемся с вами в течение 10 минут
запись в стоматологию в Минске
Ваше Имя
Поле является обязательным
Телефон
Поле является обязательным
уже проходили лечение в нашей стоматологии?
 стоматологическая клиника
Пожалуйста, оставьте отзыв о своих впечатлениях. Это очень важно для нас!
Оставить отзыв
Ваша обратная связь поможет нашим будущим пациентам определиться с выбором специалиста и метода лечения
Ваше Имя
Поле является обязательным
Телефон
Поле является обязательным
На сколько звёзд Вы оцениваете стоматологию?
Поле является обязательным
Ваш отзыв
Не более 500 символов
Поле является обязательным